|
Drs.
Noemí Arrizaga G(1), Gabriela Enríquez G(2), Pilar Soler
O(2), Mónica Hinrichsen M(2), Paulina Doggenweiler F(2), Rodrigo
Moreno S(1).
1. Médico neonatólogo, Servicio Neonatología, Hospital
Barros Luco.
2. Médico cardiólogo ecocardiografista, Centro Cardiovascular
Hospital Luis Calvo Mackenna, e Instituto de Cardiología Infantil
SALVECOR
Abstract
Eighteen cases of cardiac and pericardial tumors diagnosed by echocardiography
since 1985 until 2001 in the Cardiovascular Center of Luis Calvo Mackenna
Childrens Hospital and Childrens Heart Institute SALVECOR
were reviewed to evaluate the types of tumors, presentation forms and
evolution in a Chilean experience.
Sixteen primary heart tumors were found, 75% were rhabdomyomas, 1/4 of
them associate to tuberous sclerosis. The rest were myxomas, lipoma and
primary embryonary rhabdomiosarcoma. The two pericardiac tumors were cystic
teratoma and Ewings sarcoma. The age of diagnosis was prenatal in
3 patients, 50% were younger than three months and the oldest at 15 years.
Most of the patients were asymptomatic, 3 patients had arrhythmias, and
5 had hemodynamic compromise. The evolution was dependent on type, size
and localization of the tumors. Eight patients needed surgery, 2 for closure
of cardiac defects and biopsy and 6 for tumor resection. There were 4
deaths, 2 sudden deaths in non operate patients with ventricular arrhythmias
and 2 malignant tumors who didnt respond to resection and chemotherapy.
Key words: Cardiac and pericardial fetal tumors, Echocardiography,
Prenatal ultrasound.
Resumen
Se presenta una revisión retrospectiva de 18 casos de tumores cardíacos
y pericárdicos diagnosticados por ecocardiografía, desde
1985 hasta 2001 en el Centro Cardiovascular del Hospital Luis Calvo Mackenna
y el Instituto de Cardiología Infantil SALVECOR. El objetivo fue
evaluar tipo de tumor, forma de presentación y evolución
en una experiencia nacional.
Se encontraron 16 tumores intracardíacos primarios, de los cuales
el 75% correspondió a rabdomiomas, el resto correspondió
a mixomas, lipoma y un rabdomiosarcoma y 2 tumores secundarios, ambos
malignos y pericárdicos. La edad de diagnóstico va desde
el período fetal hasta los 15 años; el 50% se diagnosticó
en menores de 3 meses. La mayoría fue asintomático, 3 pacientes
debutaron con arritmias y 5 se presentaron con compromiso hemodinámico.
La evolución dependió del tipo de tumor, tamaño y
su ubicación. Se operaron 8 pacientes, dos pacientes para cierre
de defectos septales más biopsia y seis para resección tumoral.
Fallecieron cuatro pacientes, dos por arritmias ventriculares no operados
y dos por tumores malignos no controlados con tratamiento oncológico
más resección subtotal.
Palabras claves: Ecocardiografía, Tumores cardiacos fetales,
Ultrasonido prenatal.
 |
|
 |
|
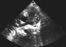
Rabdomiomas múltiples en recién nacido con hidrops.
Imagen con Doppler. |
|
Sarcoma
de Ewing rodeando el tronco de la arteria pulmonar. |
Arrizaga
N. y cols. Tumores cardiacos y pericárdicos en el niño:
Revisión de 16 años. Rev Chil Ultrasonog 2003; 6:95-100.
Correspondencia:
Dra. Noemí Arrizaga G
Centro Cardiovascular Hospital Calvo Mackenna.
Galvarino Gallardo 1776. Providencia. Santiago de Chile.
|